Makula und Netzhaut

Noch nie waren die Therapiemöglichkeiten der Erkrankungen der Makula (Stelle des schärfsten Sehens) und der Netzhaut (deren Teil die Makula ja letztlich ist) so vielfältig und effizient wie heute:
Zur Behandlung der Altersabhängigen Makuladegeneration (AMD) beispielsweise liegen uns mittlerweile nicht nur Medikamente vor, die gegen die „feuchte“ Form wirken (und auch diese werden immer effektiver…) - Selbst die zuvor nicht behandelbare „trockene“ Form kann bereits jetzt schon in der Geschwindigkeit ihres Fortschreitens eingedämmt werden:
Das Spektrum der Therapieoptionen reicht hierbei von Nahrungsergänzungsmitteln bis hin zur Photobiostimulation - Und sogar Injektionsbehandlungen ähnlich der feuchten AMD sind bereits jetzt schon studienbelegt sinnvoll und möglich!

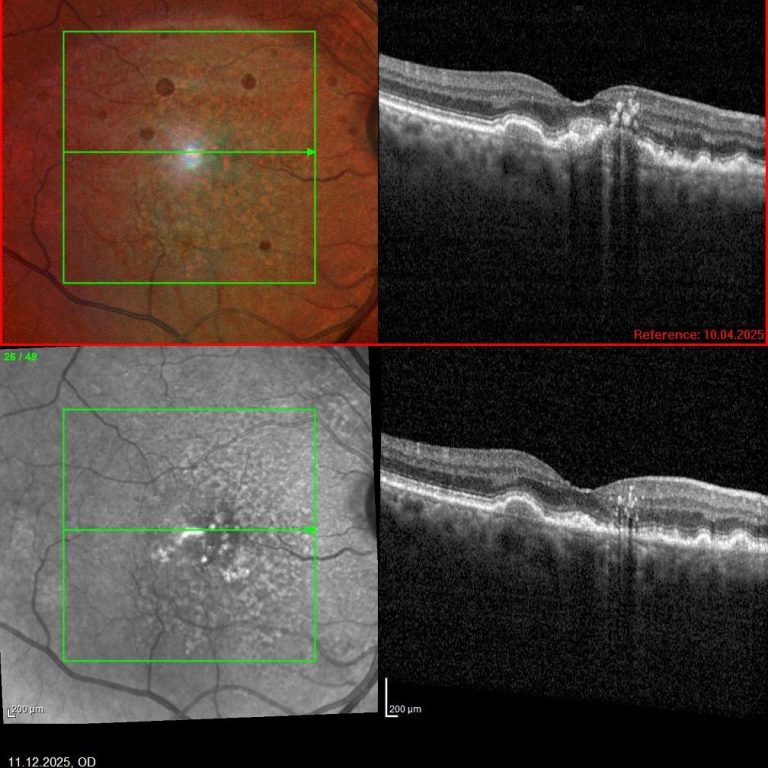
Die Stelle des schärsten Sehens der Netzhaut, die "Makula lutea", hier genauer die "Fovea centralis" dargestellt in unserer Praxis durch hochauflösende optische Cohärenztomographie (HR-OCT). Die Untersuchung ist völlig schmerzfrei und sekundenschnell angefertigt. Sie liefert ein sehr differenziertes Bild der einzelnen Netzhautschichten und des retinalen Pigmentepithels. Auch die Aderhaut kommt zur Abbildung. So können krankhafte Prozesse dieser extrem wichtigen Struktur sehr früh erkannt und behandelt werden.
Auch hat es im Bereich der diabetischen Netzhauterkrankung, der "Diabetischen Retinopathie" signifikante Fortschritte gegeben:
Die Zeiten von meist „trotz Therapie nicht besser Sehen“ sind lange vorbei: Aktuell kann durch eine umfassende Behandlung durch Laser und Medikamente die Sehkraft in vielen Fällen nicht nur erhalten- Sondern sogar gebessert werden! Und das oft auf lange Sicht.
Ähnliches gilt für die Verschluss/Thrombose-Erkrankungen der Netzhaut.
Aber nicht alle Erkrankungen von Netzhaut und Makula lassen sich diesen o.g. weitverbreiteten Pathologien zuordnen - Und daher ist ein differenziertes Verständnis mit entsprechend umfangreicher und aussagekräftiger Diagnostik auf diesem Gebiet so extrem wichtig!

Aus meiner Netzhautsprechstunde: Ein weitgereister junger Patient stellt sich vor mit einer seltenen Netzhauterkrankung, hatte bisher bereits alternative Therapieversuche mit beispielsweise Elektrostimulation (ohne Evidenz). Fundusautofluoreszenz (FAF)-Bild einer Stäbchen-Zapfendytrophie, die einer genetischen Untersuchung bedarf um eine Therapiemöglichkeit zu evaluieren.
Photobiomodulation (PBM) - Die bisher einzige wissenschaftlich belegte Therapie zur Sehkraftverbesserung bei trockener Makuladegeneration


Die Photobiomodulation (PBM) ist die bisher einzige Therapieoption bei trockener altersabhängiger Makuladegeneration, die einer klinischen Studie (die "Lightsite Study") zu einer Sehkraftverbesserung geführt hat und wurde deshalb zur Behandlung von der staatlichen US- amerikanischen Zulassungsbehörde "FDA" authorisiert. Hier das Info-Video und ein Auszug aus der Originalstudie.

Es gibt hierzu auch eine Stellungnahme der DOG, der retinologischen Gesellschaft und des Berufsverbandes der Augenärzte, die aber u.a. von Zahlen für das Risiko der unerwünschten Entwicklung einer feuchten Makuladegeneration nach PBM ausgeht (41,7% PBM vs 25 % Sham/Kontrolle), die so nicht aus der genannten, einzigen klinischen Studie (s.o.) hervorgehen (eigentlich: 5.4 % PBM vs. 1,8% Sham/Kontrolle). Die damit verbundene Warnung vor der PBM ist daher aufgrund der aktuellen Datenlage nicht objektivierbar.


Es ist also aufgrund der derzeit verfügbaren Studienlage nicht zu begründen, warum diese Therapie den entsprechenden Patienten vorenthalten werden sollte und daher steht diese Therapieoption meinen Patienten von nun an zur Verfügung.
Erste eigene Beobachtungen:


Auf der linken und rechten Seite sehen wir den jeweils gleichen Schnitt durch die Netzhaut an unterschiedlichen Zeitpunkten (links nach etwa 4, rechts nach etwa 8 Monaten) unterschiedlicher Patienten nach 9 Sitzungen Photobiomodulation (PBM). Der therapeutische Effekt mit Reduktion der Ablagerungen (Drusen) unterhalb der Netzhaut und retinalem Pigmentepithels zeigt sich rechts wie links.